Registration of 2D Deformable Model to Abdominal CT Images
 


Deform a 2D model to register to abdominal CT images.

Project student: Ding Feng (Apr 2005)
project report
video demo

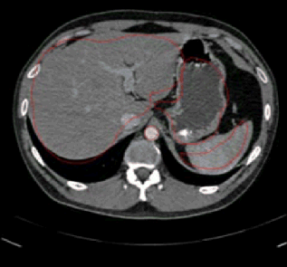
Input image:



After global registration:



After local registration of various body parts:



Final result, after running snake with GVF:



Last updated: 15 June 2005